حشو الأسنان
حشوات الأسنان – احمِ أسنانك من التسوس!
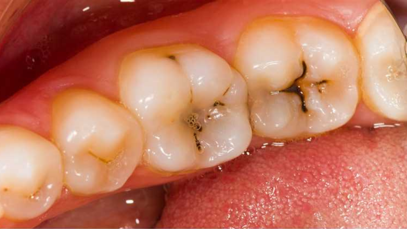
لا تهمل التسوس! تركه دون علاج قد يؤدي إلى وصوله للعصب، مما يسبب ألمًا شديدًا يستدعي علاج قناة الجذر. الحل؟ حشوات الأسنان التي تحمي أسنانك وتوقف التسوس في الوقت المناسب.
لماذا تحتاج إلى حشوات الأسنان؟
✔ وقف انتشار التسوس وحماية السن
✔ استعادة شكل السن الطبيعي ووظيفته
✔ تجنب الحاجة إلى خلع السن المتضرر
كيف يتم العلاج؟
✔ إزالة التسوس وتنظيف المنطقة المصابة
✔ ملء التجويف بمادة الحشو المناسبة دون ألم
✔ الحفاظ على السن لأطول فترة ممكنة
أنواع الحشوات:
✔ الحشوات التجميلية (الكمبوزيت) – تناسب لون الأسنان الطبيعي
✔ الحشوات المعدنية – قوية وتناسب الأضراس الخلفية
✔ الحشوات السيراميكية – تدوم طويلاً وتوفر مظهرًا جماليًا رائعًا
لا تنتظر حتى يتفاقم التسوس! احجز موعدك الآن لحماية ابتسامتك.
من حالاتنا



